gtag('consent', 'update', {'ad_user_data': 'granted','ad_personalization': 'granted','ad_storage': 'granted','analytics_storage': 'granted' });
Dordrecht, Netherlands
Terug

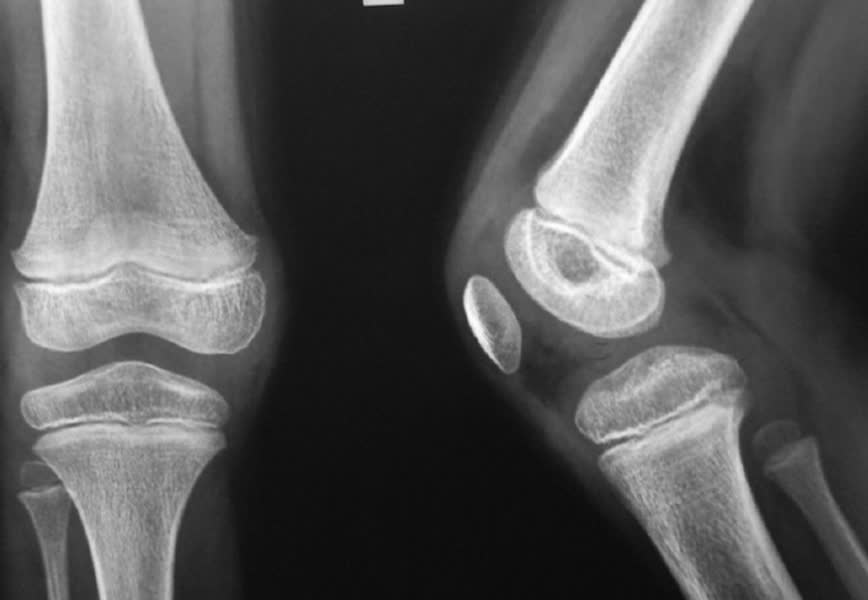
Informatieavond over versleten knie of heup

Honderdduizenden Nederlanders kampen met slijtage aan het knie- of heupgewricht. Pijnlijke aandoeningen, waar veel patiënten onnodig lang mee blijven doorlopen.

Rob van der Woude |  | Aangepast op
Om mensen bekend te maken met een mogelijke oplossing, houdt het Albert Schweitzer ziekenhuis een informatieavond op maandag 9 maart van 19.00 tot 21.00 uur.

Deze vindt plaats in het auditorium van locatie Dordwijk in Dordrecht. Aan bod komen de oorzaak, diagnose en behandeling van knie- en heupslijtage. De orthopeden Joost Peerbooms, Paul de Bruin en Bram van Koeveringe vertellen uitgebreid over de behandelmogelijkheden en operaties. Ook fysiotherapie, de gang van zaken tijdens een ziekenhuisopname en nazorg thuis komen aan bod. Er is volop gelegenheid tot het stellen van vragen.

Lees ook

Spuiboulevard Dordthuis.png

Spuiboulevard nacht afgesloten, verkeer wordt omgeleid

Er vinden woensdagnacht van 20.00 tot donderdag 05.00 uur werkzaamheden plaats op de Spuiboulevard in Dordrecht. De weg zal in die periode afgesloten zijn voor verkeer. De middenberm van de straat moet geasfalteerd worden voor een tijdelijke extra rijbaan voor auto’s en fietsers. Vanaf vrijdag zal de nieuwe rijbaan in gebruik zijn.

Hans van de Bunte Onderwijsmuseum foto Christian van Houwelingen.jpg

onderwijs

Blijdschap bij dit museum: ‘Iedereen sprong van zijn kruk gisteren’

De Tweede Kamer heeft besloten tóch geld uit te trekken voor het Nationaal Onderwijsmuseum in Dordrecht. En dat goede nieuws zorgt voor blije gezichten bij de het museum. “Ik kan nu eindelijk weer met tentoonstellingen bezig zijn. Gewoon met de inhoud aan de slag waarvoor je bent aangenomen en waarvoor je ook je werk het liefst verricht”, vertelt interim-directeur Hans van de Bunte enthousiast.

opma verkiezingen.png

Ad peilt de stemming na gemeenteraadsverkiezingen: ‘Nu moeten de partijen het laten zien’

De stemmen zijn geteld en GroenLinks-PvdA en de VVD zijn met beide 6 zetels de grootste Dordtse partijen. Een week na de gemeenteraadsverkiezingen gaat Ad van den Herik op zoek naar de mening van de kiezers. Wat moet er volgens hen als eerste worden aangepakt in Dordrecht? Daarnaast is de vraag hoe de partijen nader tot elkaar kunnen komen in de formatie van een nieuw college.

pexels-basmasseus-1117063.jpg

13-jarig meisje in Alblasserdam verkracht, Brabander bekent

Een man uit Oosterhout zou tientallen jonge kinderen hebben bedreigd en eiste seksfoto’s van ze, zelfs als ze op school zaten. Ook wordt hij verdacht van verkrachting van een minderjarig meisje in Alblasserdam. Maar waarom hij zich aangetrokken voelt tot kinderen, dat weet hij niet. Deskundigen zien een pedofiele stoornis bij hem en ze adviseren daarom een of andere vorm van tbs. "Ik heb hulp nodig", zegt B. zelf.

artikelfoto nah.png

Sporten met hersenletsel in Dordrecht: ‘Je hoort er gewoon nog bij’

Voor mensen met niet-aangeboren hersenletsel (NAH) is sporten niet altijd vanzelfsprekend. Vermoeidheid, overprikkeling of fysieke beperkingen kunnen een flinke drempel vormen. Met het project NAH Sportief in Dordrecht moet daar verandering in komen. Het initiatief slaat een brug tussen zorg en sport en helpt deelnemers op een veilige manier weer in beweging te komen.

hennepkwekerijZWI.png

168 hennepplanten aangetroffen in woning, pand gesloten

Een woning aan de Mimosastraat in Zwijndrecht is door burgemeester Anink voor drie maanden gesloten. In het pand is een hennepkwekerij gevonden met maar liefst 168 hennepplanten.